Medit AuraVue

Смотрите больше. Объясняйте лучше. Все в едином представлении.

Medit AuraVue объединяет рентгеновские снимки и 3D-сканирование на основе искусственного интеллекта для мгновенной наглядности. Более быстрые и четкие консультации с визуальными эффектами, улучшающими понимание пациента.

Скачать Medit Link

A new layer of clarity in every consultation

Консультации проходят быстрее и легче, когда пациенты видят, что происходит.

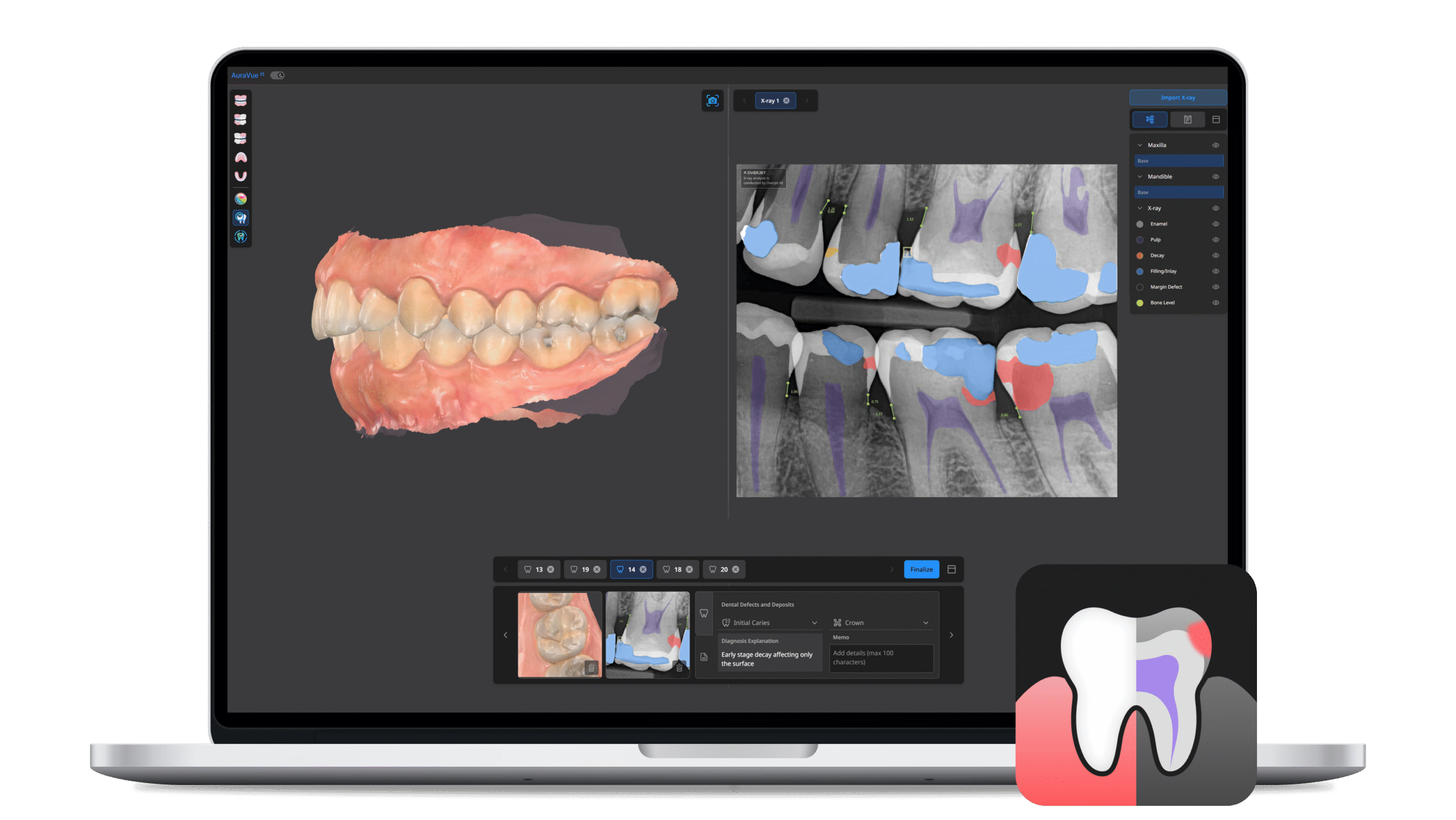
Medit AuraVue объединяет аннотации к рентгеновским снимкам от Overjet с данными 3D-сканирования Medit в одном месте, что позволяет пациентам мгновенно разобраться в ситуации.

Это делает беседы более понятными, решения - более простыми, а принятие лечения - более комфортным для пациентов.

О компании Overjet

Overjet - мировой лидер в области стоматологии. ИИ, которому доверяют крупнейшие DSO, страховщики и частные практики. Его Технология, сертифицированная FDA, автоматически анализирует рентгеновские снимки зубов для выявления кариеса, измерения уровня костной ткани и визуализации результатов в режиме реального времени. Превращая сложные рентгеновские данные в наглядные изображения, Overjet помогает врачам общаться с уверенностью и ясностью.

Запишитесь на консультацию в Medit AuraVue

Один экран, никаких переключений

Смотрите результаты рентгеновского исследования AI и 3D-сканирования на одном экране - без переключения окон

Рентгеновские аннотации с помощью искусственного интеллекта

Оцените аннотации к рентгеновским снимкам от Overjet, созданные с помощью искусственного интеллекта, прямо в Medit AuraVue

Общайтесь с ясностью

Используйте наглядные визуальные данные во время консультаций, чтобы помочь пациентам лучше понять свое состояние и планы лечения

Подведите четкие итоги

Предоставьте пациентам полное резюме консультации в формате PDF или QR-кода, чтобы они могли просмотреть его дома

Естественно вписывается в рабочий процесс вашей консультации

Medit AuraVue легко вписывается в существующий рабочий процесс Medit., улучшая каждый этап с помощью Overjet с помощью искусственного интеллекта рентгеновский снимок визуализация.

Смотреть все вместе

Откройте скан Medit и посмотрите на аннотации к рентгеновским снимкам Overjet, сделанные с помощью искусственного интеллекта, которые подчеркивают распад, каикулус, истощение и многое другое.

Направляйте беседу

Выделите ключевые области, добавьте заметкии перемещайтесь по сайту без особых усилий как вы объяснять. Пациентs sе wчто вы сеe и по ссылкеsи вsв целом.

Делитесь с уверенностью

Создать a чистый, визуальный резюме о Консультация и передача ее в формате PDF или QR-кода, чтобы пациенты могли просмотреть ее дома.

Повысьте уровень своей консультации с Medit AuraVue

Medit AuraVue, доступный теперь через Medit Link, объединяет рентгеновские снимки и 3D-сканирование с помощью искусственного интеллекта в единое рабочее пространство для более быстрых, четких и понятных консультаций.

Скачать Medit Link

*Medit AuraVue - это приложение для консультаций и общения с пациентами, которое отображает результаты диагностики, полученные с помощью программного обеспечения Overjet.ai (одобрено FDA). Medit AuraVue не анализирует, не интерпретирует и не ставит диагнозы.

Прокрутить к верху
문서 제목